Fotos de carillas dentales: resultados reales antes y después
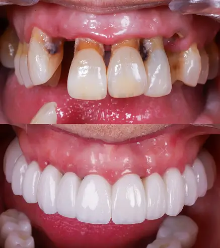
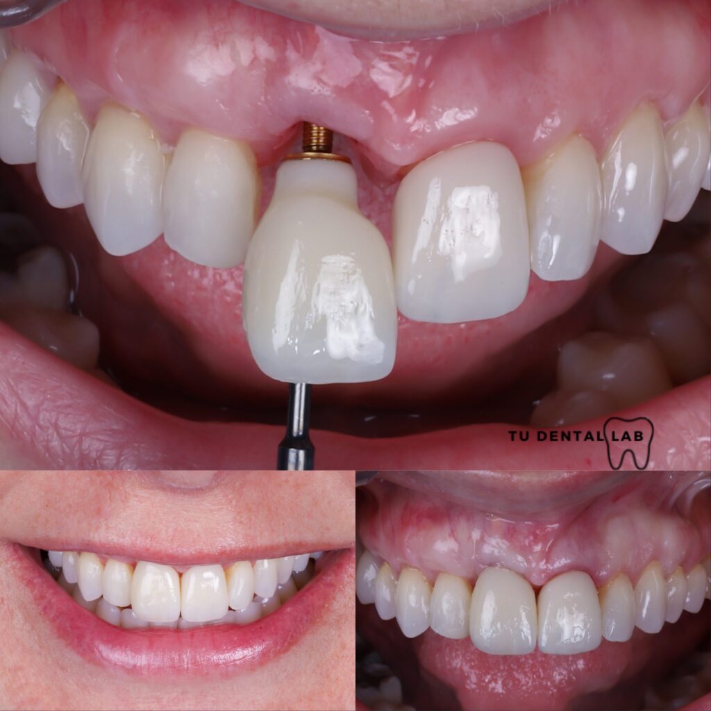
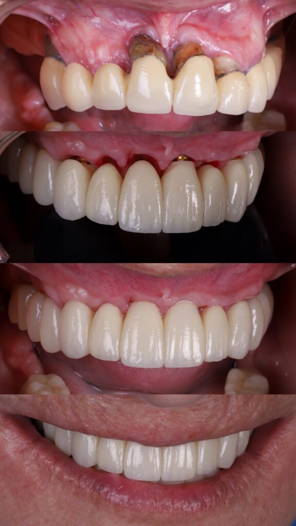
Fotos de carillas dentales: resultados reales antes y después Las carillas dentales son uno de los tratamientos más demandados en odontología estética. En este post vamos a enseñarte varias fotos de carillas dentales, casos reales antes y después, llevados a cabo en nuestra clínica. De esta forma puedes saber qué esperar y decidir si este […]









